Liver Elastography & Quantification (Fibroscan)

  • Home
  • Service
  • Liver Elastography & Quantification (Fibroscan)

Liver Analysis Solution

Advanced liver analysis solution to provide.
Comprehensive liver assessment and clarification needed.

Liver Elastography (Sono FIBROSCAN) – Detect Fatty Liver & Fibrosis Early
“Because 1 in 4 adults may have hidden Fatty Liver — know your liver’s health today.”

Why This Matters

  • Fatty liver disease is extremely common: globally, a large proportion of adults are estimated to have Fatty Liver or related conditions.
  • Often, Fatty Liver is silent— many people have no symptoms until damage becomes significant. That means you might have liver fat accumulation, fibrosis or early scarring without realizing it.
  • Early detection is key. Once fibrosis advances to cirrhosis, liver damage becomes irreversible, and risks increase (liver failure, complications).

1 in 4 of global population have NAFLD

Non-Alcoholic Fatty Liver Disease (NAFLD) is an umbrella term that encompasses a spectrum of disorders, such as fat deposits in the liver, steatohepatitis, liver fibrosis, and cirrhosis, which can be found during an ultrasound and liver biopsy and are neither caused by alcohol consumption nor accompanied by other disorders.

Recent figures Show that the prevalence Of NAFLD in Asia and the USA is approximately 30%, while its global prevalence is approximately 25%.

Fat deposits in the liver can increase the chances of triggering inflammatory responses and also lead to liver fibrosis. Hence, it is important to continuously monitor the liver once the patient is diagnosed with fatty liver disease.

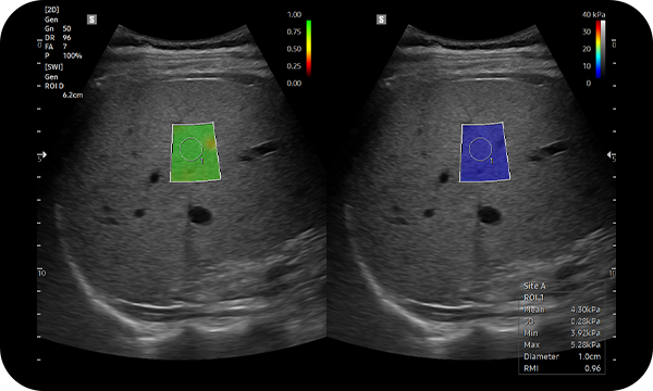
What is Liver Elastography?

  • Elastography is a non-invasive imaging test that measures the stiffness (elasticity) of the liver. Applied by ultrasound, it detects scarring (fibrosis) or fat accumulation.
  • This method can often replace an invasive liver biopsy, and is quick, painless, and safe.
  • Results from elastography provide two important pieces of information:
    • Fat content (steatosis) — how much fat is deposited in the liver cells
    • Fibrosis / stiffness — how much scarring or irreversible tissue damage has occurred

Why Choose Elastography for Fatty Liver Screening

  • Detect early fatty change and fibrosis— even before symptoms appear.
  • Identify whether liver fat has progressed to irreversible damage or cirrhosis risk.
  • Monitor the liver over time — especially helpful if you have risk factors (diabetes, obesity, metabolic syndrome).
  • Peace of mind: an objective, accurate test rather than relying only on blood tests or ultrasound appearance.

Who Should Get Liver Elastography?

You should consider liver elastography if you have:

  • Overweight or obesity
  • Type 2 diabetes, insulin resistance or metabolic syndrome
  • Abnormal liver enzyme tests or fatty changes seen on routine ultrasound
  • Family history of liver disease
  • Unhealthy lifestyle (high-fat diet, sedentary, etc.)
  • Other risk factors (hypertension, dyslipidemia)

Since NAFLD often shows no symptoms, early screening is important even if you feel “fine.”

What to Expect — The Elastography Test

  • Test is done via Ultrasound— no needles, no biopsy, no pain.
  • You lie on a table; a transducer or probe transmits harmless vibrations. The device measures how these waves travel through your liver. Stiffer (fibrotic) tissue causes the waves to pass faster.
  • The test takes 10–15 minutes, with minimal preparation needed (often a light fast or nothing special) depending on the protocol.
  • Results are interpreted by a trained radiologist — you get a score for Fat content (steatosis) and Fibrosis/stiffness. These scores help guide further management or lifestyle changes.

What Do the Results Mean?

FindingInterpretation / Action
Normal stiffness & low fatHealthy liver — maintain healthy lifestyle
Increased fat, minimal stiffness (early steatosis)Lifestyle modification (diet, exercise), periodic monitoring
Moderate stiffness (fibrosis) + fatIncreased risk — medical follow-up, consider specialist referral
High stiffness / significant fibrosis (possible cirrhosis)Urgent medical care, avoid further liver insults, monitor for complications


“A stiff liver on elastography means there is scarring/fibrosis — an early warning sign long before symptoms appear.”

Why Our Centre for Liver Elastography

  • Advanced, modern Liver Elastography equipment.
  • Experienced PGI trained radiologist with expertise in Liver imaging.
  • Comfortable, private scanning environment.
  • Quick scheduling and fast results.
  • Follow-up and counselling available (diet advice, metabolic risk management)

Take Control of Your Liver Health — Early Detection Matters

Even if you feel healthy, 1 in 4 people may harbour silent Liver fat. With liver elastography, you can know your liver’s status — fat content, fibrosis, or damage — without invasive biopsy.

Book your Liver Elastography scan today. Protect your liver — protect your future.

Cart

No products in the cart.

Select the fields to be shown. Others will be hidden. Drag and drop to rearrange the order.
  • Image
  • SKU
  • Rating
  • Price
  • Stock
  • Availability
  • Add to cart
  • Description
  • Content
  • Weight
  • Dimensions
  • Additional information
Click outside to hide the comparison bar
Compare